160x600
23 November, 2025, Sunday
DOLAR 42.2631
EURO 49.0719
ALTIN 5726.6

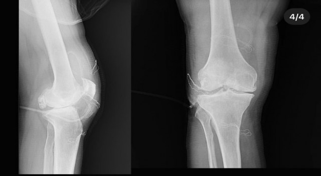
Dizden çıkan eklem fareleri şaşırttı

  • Yazdır
  • A
    Yazı Tipi
  • Yorumlar
Dizden çıkan eklem fareleri şaşırttı
Abone ol
Düzce üniversitesi Tıp Fakültesi Hastanesi Ortopedi Ve Travmatoloji Kliniği’nde Gerçekleştirilen Operasyonda, Eklem Faresi Olarak Da Bilinen Multipl Sinovial Kondromatozisi Başarılı Geçen Ameliyatla Artroskopik Olarak çıkartıldı.

Düzce Üniversitesi Tıp Fakültesi Hastanesi Ortopedi ve Travmatoloji Kliniği’nde gerçekleştirilen operasyonda, eklem faresi olarak da bilinen multipl sinovial kondromatozisi başarılı geçen ameliyatla artroskopik olarak çıkartıldı.

Diz ağrısı şikayeti ile geldiği Düzce Üniversitesi Tıp Fakültesi Hastanesi’nde ameliyata alınan hastanın dizlerinden toplam 41 adet multipl sinovial kondromatozisi çıkartıldı. Özellikle diz eklemi çevresinde görülmekle birlikte kalça, dirsek ve diğer eklemlerde de görülen, ufak parçalardan oluşan cisimler olarak tanımlanan eklem faresi, eklem çevresinde eklem sıvısı ya da sinoviyumda görülen kıkırdak ya da kemik parçalarıdır. Eklem farelerinin boyutları birkaç milimetreden birkaç santimetreye kadar çıkabiliyor.

Düzce Üniversitesi Tıp Fakültesi Hastanesi Ortopedi ve Travmatoloji Kliniği’nde başarılı geçen operasyonu; Doç. Dr. Zekeriya Okan Karaduman, Doç. Dr. Mehmet Arıcan ve Dr. Öğr. Üyesi Sönmez Sağlam gerçekleştirdi.

Örgü İpliği

  • 0
    SEVDİM
  • 0
    ALKIŞ
  • 0
    KOMİK
  • 0
    İNANILMAZ
  • 0
    ÜZGÜN
  • 0
    KIZGIN
Şanlıurfada kumar operasyonu Önceki Haber

Şanlıurfada kumar operasyonu

Kamyon çarpmasıyla kontrolden çıkan kamyonet şarampole yuvarlandı Sonraki Haber

Kamyon çarpmasıyla kontrolden çıkan kamy...

Haber Yorum Üstü

Yorum Yazın

Başka haber bulunmuyor!

Ana Sayfa
Web TV
Foto Galeri
Yazarlar